في وقتنا الحالي ومع الازدحام المتزايد يوميًا، أصبح البحث عن الخدمات القريبة من المنزل أهم من قبل. فإذا كنت من سكان الشيخ زايد وما حولها وتبحث عن أفضل مركز لطب الأسنان في منطقة زايد، افضل دكتور جراحة اسنان زايد فإليك في هذا المقال جميع المعلومات التي تحتاجها.
سنتعرف على افضل دكتور جراحة اسنان زايد، كما سنستعرض أبرز جراحات الأسنان المتاحة وما هي المعايير التي يجب أن تعتمد عليها عند اختيار الطبيب المناسب لضمان نتائج فعالة وآمنة.
أين يمكنك العثور على افضل دكتور جراحة اسنان زايد؟
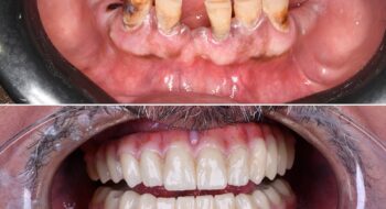
افضل دكتور جراحة اسنان زايد يمكنك العثور عليه في عيادات متخصصة مثل مركز Guarantee لطب الأسنان. إليك بعض الأسباب التي تجعل مركز جرانتي خيارًا مميزًا:
- لدينا فريق طبي متميز من أطباء جراحة الأسنان ذوي الخبرة الواسعة.
- نستخدم أحدث التقنيات الطبية في جراحة الأسنان مثل الأشعة ثلاثية الأبعاد والزراعة الرقمية.
- نقدم ضمان رسمي على خدمات زراعة الأسنان.
- نراعي راحة المرضى من خلال تقديم استشارات واضحة ودقيقة.
- لدينا فروع متعددة في مواقع استراتيجية مثل الشيخ زايد، مما يسهل الوصول إليك أينما كنت.
- نوفر أنظمة تقسيط ميسرة بالتعاون مع البنوك المصرية الكبرى.
حقق حلمك بابتسامة جميلة مع افضل دكتور جراحة اسنان زايد في مركز جرانتي لطب الأسنان، حيث نضمن لك أفضل العلاجات، اتصل الآن لحجز موعدك.
إذا كنت تبحث عن أفضل دكتور زراعة أسنان في مصر
تعرف على أفضل مركز زراعة أسنان في مدينة نصر
متى يلجأ الطبيب إلى جراحة الاسنان؟
تتطلب بعض الحالات الطبية إجراء جراحة للأسنان عندما تكون هناك صعوبة في خلع الضرس بطريقة تقليدية. من أهم هذه الحالات التي قد تستدعي خلع الضرس جراحيًا:
- تهشم الضرس بشكل شديد، مما يجعله غير قابل للترميم.
- تشوه جذور الأسنان، مثل انحناء الجذر أو وجود جذر طويل بشكل غير طبيعي.
- الأسنان المدفونة، خاصة في حالة ضرس العقل الذي يظل محاصرًا تحت اللثة.
- تكثف العظام المحيطة بالضرس، مما يعيق قدرة الطبيب على الوصول إلى الجذر بسهولة.
- وجود جزء من الجذر عالقًا داخل الفك ويصعب إزالته باستخدام الطرق التقليدية.
لتحصل على علاج أسنان متكامل بأعلى المعايير، تواصل الآن مع افضل دكتور جراحة اسنان زايد في مركز جرانتي لطب الأسنان، ودعنا نساعدك في الحصول على ابتسامة صحية
معايير اختيار افضل دكتور جراحة اسنان زايد
عند اختيار افضل دكتور جراحة اسنان زايد، يجب أن تأخذ في الاعتبار بعض المعايير الأساسية لضمان الحصول على أفضل رعاية طبية:
- الخبرة والكفاءة: التأكد من أن الطبيب يمتلك سنوات من الخبرة في مجال جراحة الأسنان.
- التخصص والشهادات: البحث عن طبيب متخصص في جراحة الأسنان ولديه شهادات معترف بها.
- التقنيات الحديثة: التأكد من استخدام العيادة لأحدث التقنيات الطبية في جراحة الأسنان مثل الأشعة ثلاثية الأبعاد والزراعة الرقمية.
- تقييمات المرضى: قراءة مراجعات وتقييمات المرضى السابقين للحصول على فكرة عن جودة الخدمة.
- الاهتمام بالراحة النفسية للمريض: التأكد من أن الطبيب يولي اهتمامًا بالجانب النفسي ويعطي شرحًا وافٍ للإجراءات الطبية.
- خدمات متكاملة: اختيار العيادة التي تقدم خدمات شاملة تشمل التشخيص والعلاج والمتابعة بعد الجراحة.
اكتشف أفضل مركز زراعة أسنان في التجمع
للحصول على أفضل دكتور جراحة أسنان في التجمع
أو اطلع على أفضل دكتور زراعة أسنان في مدينة نصر
في النهاية، إذا كنت تبحث عن افضل دكتور جراحة اسنان زايد، فإن اختيار المركز المناسب الذي يقدم أحدث التقنيات والاهتمام الكامل بك هو أمر بالغ الأهمية. تذكر دائمًا أن الجراحة السليمة تبدأ باختيار الطبيب ذو الخبرة، والعيادة المتطورة التي توفر خدمات متكاملة في جراحات الأسنان المختلفة.
لا تتردد في الاتصال بـ مركز جرانتي لطب الأسنان للحصول على استشارة وتحديد خطة العلاج المثالية لك. اتصل الآن لتحقيق ابتسامة صحية وجميلة مع أفضل دكتور جراحة أسنان زايد.
الاسئلة الشائعة
ما هي جراحة الأسنان؟
جراحة الأسنان هي عمليات طبية تُجرى لعلاج المشكلات المتعلقة بالفم والأسنان مثل زراعة الأسنان، علاج التهابات اللثة، استئصال الأورام، وتصحيح التشوهات الهيكلية.
متى يجب أن أزور طبيب جراحة أسنان؟
يجب زيارة طبيب جراحة الأسنان إذا كنت تعاني من ألم شديد في الأسنان أو اللثة، أو إذا كنت بحاجة إلى زراعة أسنان، أو إذا كان لديك مشاكل مثل الأكياس أو الأورام في الفم.

زراعة الاسنان كم مدتها؟ ابتسامة مثالية تستحق التجربة
تعد زراعة الأسنان إجراءً طبيًا حديثًا ومبتكرًا يستخدم لاستبدال الأسنان المفقودة أو التالفة بأخرى صناعية، وتوفر هذه العملية نتائج طبيعية ووظيفة مثالية للأسنان المفقودة، ربما تكون أحد الأسئلة - اقرأ المزيد..

كوبري سنان في مركز جرانتي | أفضل طرق العلاج والحلول
كوبري سنان هو علاج يستخدم لتثبيت الأسنان المتضررة، وهو حل فعال لعدد من المشاكل التي قد تصيب الأسنان، مثل الكسور، التآكل، أو الأسنان التي فقدت جزءًا كبيرًا من - اقرأ المزيد..

زائدة لحمية فوق ضرس العقل| الأسباب وطرق الوقاية والعلاج
قد يلاحظ البعض ظهور زائدة لحمية فوق ضرس العقل أو كتلة لحمية غير مريحة في منطقة الضرس، وقد تتسبب هذه الزوائد في ألم وتهيج اللثة وتؤثر على صحة - اقرأ المزيد..
