تعد الاسنان المتآكلة من المشاكل الشائعة التي تؤثر على صحة الأسنان لدى الأطفال. تحدث عندما ينخفض نسيج الأسنان بسبب تأثيرات مختلفة مثل الإفراط في تناول المشروبات الغازية المحلاة أو الحموضة العالية ، وتأثير الحشوات المعدنية أو الطحن الخاطئ للأسنان. هذا يتسبب في تآكل وتفقد طبقة المينا الواقية على الأسنان ، مما يؤدي إلى حساسية الأسنان وتآكلها بشكل مستمر.
الأسنان المتآكلة: التعريف والأسباب
هناك عدة عوامل تسهم في تآكل الأسنان لدى الأطفال. تشمل هذه العوامل:
- الحموضة العالية في الأطعمة والمشروبات: مثل المشروبات الغازية والعصائر الحمضية.
- نمط الحياة والتغذية غير الصحي: مثل تناول الحلوى بكثرة وعدم غسل الأسنان بعد تناول الطعام.
- الحشوات المعدنية غير الصحية: يمكن أن تتسبب حشوات المعدنية في تآكل الأسنان المحيطة بها.
- طرق فرك الأسنان غير الصحيحة: مثل الضغط المفرط أو طرق الفرك غير الصحيحة.
اعرف الان:
أعراض التسنين عند الاطفال
ما هو السن المناسب لخلع ضروس الاطفال؟
كل ما تحتاج معرفته عن الخلع الجراحي لضرس العقل
أعراض الأسنان المتآكلة عند الأطفال
قد لا يكون من السهل اكتشاف الأسنان المتآكلة لدى الأطفال ، ولكن هناك بعض الأعراض التي يجب مراقبتها. تشمل بعض الأعراض المشتركة:
- حساسية الأسنان: قد يعاني الأطفال ذوو الأسنان المتآكلة من حساسية عند تناول الأطعمة الساخنة أو الباردة.
- تغير لون الأسنان: قد تصبح الأسنان باهتة أو تغير لونها بسبب تآكل الطبقة الخارجية.
- تصدع الأسنان: يمكن أن يواجه الأطفال مشكلة تصدع الأسنان بسبب فقدان الطبقة الواقية.
بالاهتمام الجيد بصحة الفم والأسنان الخاصة بطفلك ، يمكنك تقليل مخاطر الأسنان المتآكلة وضمان صحة أسنانهم الطبيعية.
التغذية الغير صحية وتأثيرها على الأسنان
تلعب التغذية الغير صحية دورًا هامًا في صحة الأسنان للأطفال. تناول الأطعمة الغنية بالسكر والنشويات بكثرة يزيد من خطر تآكل الأسنان. بالإضافة إلى ذلك، تناول المشروبات الغازية والحلوى الكربونية يمكن أن يتسبب في تسوس الأسنان وتآكل المينا، الطبقة الواقية للأسنان. لذلك، يجب أن يكون الاهتمام بالتغذية والتقليل من تناول السكر والأطعمة المقوية بالنشويات جزءًا أساسيًا من رعاية صحة أسنان الأطفال.
تقنية التطور الحديثة وتأثيرها على الأسنان
تقدم التكنولوجيا الحديثة في عالم الطب السني تقنيات جديدة ومبتكرة لعلاج الأسنان المتآكلة عند الأطفال. على سبيل المثال، تستخدم بعض التقنيات الحديثة الأوتوكلاف لعلاج مشاكل الأسنان مثل التسوس وتآكل المينا. تقنيات أخرى تستخدم أشعة الليزر لإزالة الأنسجة المتضررة وتعزيز نمو الأنسجة الصحية. يمكن أن تساهم تلك التقنيات في علاج الأسنان المتآكلة وتحسين صحة الأسنان لدى الأطفال.
اقرأ أيضا:
حشو العصب للاطفال من سن كام؟
طربوش اسنان الاطفال: مميزاته وطرق العناية به؟
العادات السيئة وتأثيرها على الأسنان
تؤثر العادات السيئة مثل عدم تنظيف الأسنان بانتظام وعدم استخدام خيط الأسنان وعض الأظافر على صحة الأسنان للأطفال. الإصرار على هذه العادات قد يؤدي إلى تراكم البلاك وتكون الجير وتسبب تسوس الأسنان. من الضروري أن يتعلم الأطفال عادات صحية مثل تنظيف الأسنان بانتظام وزيارة طبيب الأسنان بشكل منتظم للحفاظ على صحة أسنانهم.
بشكل عام، يُعد علاج الأسنان المتآكلة عند الأطفال مهمًا للحفاظ على الأسنان الصحية وتجنب المشاكل في المستقبل. بتوعية الأطفال وتوفير الرعاية السنية اللازمة، يمكن للوالدين أن يكونوا على يقين بأن أسنان أطفالهم محمية وصحية.
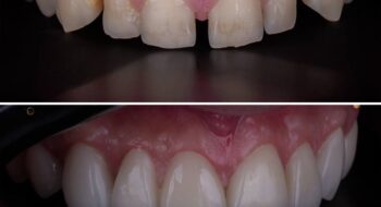
التشخيص والتمييز بين الأسنان المتآكلة
عندما يتعلق الأمر بعلاج الأسنان المتآكلة عند الأطفال، فإن التشخيص السليم يلعب دورًا حاسمًا في تحديد الخطوات العلاجية المناسبة. هناك عدة طرق لتشخيص الأسنان المتآكلة وتمييزها عن الحالات الأخرى. إليك بعض الأساليب الشائعة المستخدمة:
1. الفحص السريري للأسنان المتآكلة
يتضمن الفحص السريري فحص الفم والأسنان بدقة للتحقق من وجود تلف في التركيب والطبقة الميناوية للأسنان. قد يقوم طبيب الأسنان بفحص الأسنان باستخدام أدوات خاصة لتحديد مدى التآكل ومناطق الضرر.
2. الأشعة وتصوير الأسنان للتشخيص الدقيق
يمكن استخدام الأشعة وتصوير الأسنان للتشخيص الدقيق وتحديد مدى التآكل وتأثيره على الأسنان. يستخدم طبيب الأسنان صور الأشعة لتحديد ما إذا كان هناك حاجة إلى إجراء علاجات إضافية مثل التركيبات أو الجسور. باستخدام هذه الأساليب المختلفة للتشخيص والتمييز بين الأسنان المتآكلة، يمكن لطبيب الأسنان تحديد العلاج الأمثل للأطفال وضمان استعادة صحة أسنانهم بشكل صحيح.
طرق وأساليب علاج الأسنان المتآكلة عند الأطفال
عندما يعاني الأطفال من تآكل الأسنان، هناك عدة طرق وأساليب يمكن استخدامها لعلاج المشكلة والحفاظ على صحة الأسنان. فيما يلي بعض الطرق الشائعة والفعالة لعلاج الأسنان المتآكلة عند الأطفال:
1. الوقاية والعناية بالأسنان
يجب تعزيز الوقاية والعناية الجيدة بالأسنان من خلال تنظيف الأسنان بانتظام بواسطة فرشاة الأسنان والمعجون الخاص بالأطفال.- ينصح بتجنب تناول الطعام والمشروبات الحمضية والسكرية بكثرة، حيث يمكن أن تتسبب في تآكل الأسنان.
2. الحشوات وإعادة البناء للأسنان المتآكلة
يُستخدم الحشو المناسب لمعالجة التآكل السطحي للأسنان.- في حالة التآكل الشديد وتلف الأسنان، قد يكون هناك حاجة لإعادة بناء الأسنان بواسطة تركيبات أو جسور اصطناعية.
3. الجراحة والعلاجات التقويمية اللازمة
قد يكون هناك حاجة لإجراء عمليات جراحية لمعالجة حالات التآكل الشديدة واستعادة صحة ووظيفة الأسنان.- في بعض الحالات، قد يتطلب علاج التآكل توجيه الأسنان باستخدام جهاز تقويم للأسنان.
بشكل عام، يمكن أن تكون عملية علاج الأسنان المتآكلة عند الأطفال متنوعة ومتعددة الطروح. ومن الأهمية بمكان أن يتم استشارة طبيب أسنان متخصص لتقييم حالة الأطفال وتحديد العلاج الأنسب لهم.
تعرف على:
مراحل تقويم الأسنان
هل التخدير الكامل للأطفال للأسنان خطير؟
نصائح للحفاظ على صحة الأسنان لدى الأطفال
إليك بعض النصائح الهامة للمساعدة في الحفاظ على صحة الأسنان لدى الأطفال مع افضل مركز اسنان فى مصر:
1. التغذية الصحية للحفاظ على صحة الأسنان
تعد التغذية الصحية أحد العوامل الرئيسية في الحفاظ على صحة الأسنان لدى الأطفال. من المهم تناول الأطعمة الغنية بالكالسيوم والفيتامين د لتعزيز نمو وتقوية الأسنان. بعض الأمثلة على الأطعمة الصحية للأسنان تشمل:
- الألبان ومنتجات الألبان مثل الحليب والجبن والزبادي
- الخضروات الورقية الخضراء مثل السبانخ والكرنب والبروكلي
- الفواكه الطازجة مثل التفاح والبطيخ والفراولة
- الأطعمة الغنية بالألياف مثل البقوليات والحبوب الكاملة
- تجنب تناول الأطعمة الغنية بالسكر والمشروبات الغازية المحلاة
2. العناية الشخصية بالأسنان والنظافة الفموية اليومية
تشمل العناية الشخصية بالأسنان والنظافة الفموية اليومية عادات صحية يجب على الأطفال اتباعها بانتظام. بعض النصائح الهامة تشمل:
- غسل الأسنان بالفرشاة ومعجون الأسنان بالحركة الدائرية لمدة دقيقتين على الأقل مرتين في اليوم
- استخدام خيط الأسنان لإزالة البقايا الغذائية من بين الأسنان
- استخدام المضمضة الفموية لتنظيف الأسنان والفم وتقليل تراكم البلاك
- تجنب عض الأظافر واستخدام الأسنان كأدوات لفتح الأشياء
3. الزيارات الدورية للطبيب الأسنان للفحص والوقاية
من المهم أن يقوم الأطفال بزيارة الطبيب الأسنان بانتظام للفحص والوقاية. يمكن للطبيب الأسنان تقييم صحة الأسنان واللثة واكتشاف أي مشاكل مبكرًا. قد يوصي الطبيب بإجراء تنظيف أسنان دوري لإزالة البلاك والبقايا الغذائية. كما يمكن للطبيب الأسنان توجيه الأطفال وأولياء الأمور حول العناية الشخصية بالأسنان وتقديم نصائح للحفاظ على صحة الفم والأسنان.
باتباع هذه النصائح والاهتمام بصحة الأسنان لدى الأطفال، يمكن الحفاظ على أسنانهم قوية وصحية والوقاية من مشاكل مستقبلية.
خطوات لتشجيع الأطفال على العناية بأسنانهم
تشجيع الأطفال على العناية بأسنانهم يتطلب بعض الإجراءات الإيجابية والمحفزة. هنا بعض الخطوات التي يمكن اتباعها لتحفيز الأطفال على الاهتمام بصحة أسنانهم:
1. التوعية بأهمية العناية بالأسنان
لا يمكن التأكيد بشكل كاف على أهمية العناية بالأسنان لدى الأطفال. هنا بعض الخطوات التي يمكن اتخاذها لتعزيز الوعي بأهمية العناية بالأسنان لدى الأطفال:
- شرح للأطفال عن أهمية الأسنان القوية للتهام الطعام والابتسامة الجميلة.
- توضيح للأطفال عن الأمراض التي يمكن أن تحدث عندما لا يتم الاهتمام بالأسنان بشكل صحيح، مثل التسوس والتسوس.
- المشاركة مع الأطفال في تنفيذ مهام العناية بالأسنان، مثل تنظيف الأسنان واستخدام الخيط الطبي.
2. تقنيات لجعل العناية بالأسنان ممتعة للأطفال
قد يكون صعبًا تشجيع الأطفال على الاهتمام بأسنانهم، ولكن هنا بعض التقنيات التي يمكن استخدامها لجعل العناية بالأسنان ممتعة للأطفال:
- استخدام فرشاة أسنان ذات ألوان جذابة أو تحتوي على شخصيات محببة لديهم.
- تشجيع الأطفال على اختيار معجون أسنان بنكهة مفضلة لديهم.
- إنشاء مسابقة أو جدولًا للمكافآت يمكنها تحفيز الأطفال على تنفيذ مهام العناية اليومية بالأسنان.
- بتطبيق هذه الخطوات واستخدام هذه التقنيات، يمكن تشجيع الأطفال على الاهتمام بأسنانهم والحفاظ على صحة فمهم المستقبلية.
قد يهمك: علاج الم الاسنان عند الاطفال
أهمية جدول التسنين عند الأطفال
الدور المهم لأولياء الأمور في العناية بأسنان الأطفال
في علاج الأسنان المتآكلة لدى الأطفال، لا يقتصر الدور الطبي على الأطباء والأخصائيين فقط، بل يلعب الأهل دورًا مهمًا في الحفاظ على صحة أسنان أطفالهم. إليك بعض النصائح التوجيهية الهامة التي يمكن أن يتبعها الأهل في العناية بأسنان أطفالهم في المنزل:
- تعليم الأطفال على فرشاة أسنانهم بطريقة صحيحة وباستخدام معجون أسنان مناسب لعمرهم.
- التأكد من تنظيف الأسنان بعد كل وجبة طعام باستخدام خيط الأسنان والغسول الفموي المناسب.
- تقديم نموذج إيجابي للأطفال من خلال الاهتمام بنظافة الأسنان الخاصة بكم.
- تقليل استهلاك الحلويات والمشروبات الغازية والأغذية ذات السكريات العالية.
- جدولة زيارات منتظمة لطبيب الأسنان للكشف عن أي مشاكل مبكرة وتوجيه العناية السليمة.
طرق تحفيز الأطفال الى العناية بأسنانهم
لا يكفي أن يتلقى الأطفال الإرشاد والتوجيه اللازمين، بل يجب عليهم أيضًا أن يشعروا بالمسؤولية تجاه صحة أسنانهم. إليك بعض الطرق التي يمكن استخدامها لتحفيز الأطفال على الاهتمام بأسنانهم:
- جعل عملية تنظيف الأسنان ممتعة عن طريق استخدام فرشاة الأسنان ذات الألوان المشرقة والتي تحتوي على الرسوم المحببة للأطفال.
- التحدث بإيجابية حول العناية بالأسنان وشرح أهمية صحة الأسنان وتأثيرها على الجسم العام.
- إعطاء الثناء والتشجيع عندما يقوم الطفل بتنظيف أسنانه بشكل منتظم.
- التحدث إلى الأطفال عن تجربة زيارة طبيب الأسنان بشكل إيجابي وتخفيف القلق المحتمل.
- شراء ألعاب أو كتب تعليمية حول العناية بالأسنان لزيادة الوعي والمتعة.
من خلال دعم الأهل وتشجيعهم، يمكن أن يتعلم الأطفال عادات صحية للعناية بالأسنان ويحافظون على صحة أسنانهم على المدى الطويل.
تأثير الأسنان المتآكلة على النمو والتطور لدى الأطفال
تعتبر الأسنان المتآكلة عند الأطفال مشكلة صحية خطيرة يجب التعامل معها بجدية. إليكم بعض التأثيرات التي يمكن أن تحدث نتيجة للأسنان المتآكلة على نمو وتطور الأطفال:
تأثير الأسنان المتآكلة على النطق والمضغ
- تأخر في النطق: تؤثر الأسنان المتآكلة على القدرة التحدث بوضوح وتسبب صعوبة في النطق الصحيح للأصوات والحروف.
- ضعف في العضلات المضغية: قد تؤثر الأسنان المتآكلة على قوة عضلات الفك والمضغ، مما يؤدي إلى صعوبة في المضغ والتقليل من تناول الطعام اللين والمغذي.
تأثير الأسنان المتآكلة على التوجه النفسي والاجتماعي
- تأثير عاطفي: قد يشعر الأطفال الذين يعانون من أسنان متآكلة بالحرج أو الاحتقار نتيجة لمظهر أسنانهم. هذا يمكن أن يؤثر سلبًا على ثقتهم بأنفسهم ويؤدي إلى انعزالهم الاجتماعي.
- تأثير اجتماعي:قد يعاني الأطفال المصابون بأسنان متآكلة من صعوبة في تكوين صداقات والانخراط في أنشطة اجتماعية بسبب الحرج الناجم عن مظهر أسنانهم.
قد يهمك: افضل انواع الطرابيش للاسنان
أفضل العلاجات الطبيعية لتحميض الأسنان المتآكلة
عندما يواجه الأطفال مشكلة تحميض الأسنان المتآكلة، يمكن استخدام بعض العلاجات الطبيعية الفعالة للمساعدة في علاج هذه المشكلة. إليك بعض الخيارات الطبيعية الموصى بها:
تطبيق خلطات منزلية لتبييض الأسنان المتآكلة
تعتبر الخلطات المنزلية من أفضل العلاجات الطبيعية لتحميض الأسنان المتآكلة. يمكن استخدام مكونات بسيطة ومتوفرة في المنزل لتحسين صحة الأسنان وتبييضها، مثل:
- تطبيق معجون الفحم المنشط: يعتبر الفحم المنشط مادة فعالة في إزالة التصبغات وتسويتها، كما يُعتبر آمنًا للاستخدام على الأسنان المتآكلة.
- استخدام خل التفاح: يحتوي خل التفاح على خواص مُضادة للبكتيريا والفطريات، ويمكن استخدامه لاستعادة التوازن الحمضي في الفم ومكافحة البكتيريا التي تسبب تحميض الأسنان.
- غسل الفم بزيت جوز الهند: يُعتقد أن غسل الفم بزيت جوز الهند يمكن أن يساعد في تنظيف الفم وإزالة البكتيريا الضارة.
من المهم أن يتم استشارة طبيب الأسنان قبل استخدام أي علاج طبيعي لتحميض الأسنان المتآكلة للأطفال. يمكن للطبيب تقديم توجيهات حسب حالة الأسنان والصحة العامة للطفل.
كل تلك المواصفات وأكثر تجدها متوفرة في مركز جرانتي، والذي يُعد أحد أهم وأفضل مراكز طب الأسنان في مصر يُمكنك حجز موعد للخضوع للفحص أو حشو العصب من خلال التواصل معنا عبر خدمة الرسائل النصية الموجودة على الموقع الإلكتروني وسيتم الرد عليك في أسرع وقت ممكن من قبل الفريق الطبي لدينا.
الاسئلة الشائعة
تآكل الأسنان لدى الأطفال يحدث بسبب عدة عوامل مثل تناول الأطعمة الحمضية والمشروبات الغازية السكرية، عدم تنظيف الأسنان بشكل صحيح، العادات السيئة مثل عض الأظافر، والضغط المفرط عند تنظيف الأسنان.
بعض الأعراض التي تشير إلى تآكل الأسنان تشمل حساسية الأسنان عند تناول الأطعمة الساخنة أو الباردة، تغير لون الأسنان إلى اللون الباهت، وتصدع الأسنان نتيجة فقدان الطبقة الواقية.
نعم، الوقاية تتضمن الحفاظ على نظافة الفم اليومية، التقليل من تناول الأطعمة والمشروبات الحمضية والسكريات، وتعليم الأطفال العادات الصحية مثل تنظيف الأسنان بانتظام.ما هي أسباب تآكل الأسنان لدى الأطفال؟
كيف يمكنني معرفة إذا كانت أسنان طفلي متآكلة؟
هل يمكن الوقاية من تآكل الأسنان عند الأطفال؟

عملية زراعة فك كامل: استرجع ابتسامتك القديمة بكل ثقة
تُعتبر عملية زراعة فك كامل من أحدث وأهم الحلول التي يقدمها طب الأسنان الحديث للأشخاص الذين يعانون من فقدان كامل للأسنان في الفك العلوي أو السفلي، أو في - اقرأ المزيد..

زراعة الاسنان كاملة للفك: استعادة ابتسامتك وثقتك من جديد
فقدان جميع الأسنان ليس مجرد مشكلة شكلية، بل تجربة تؤثر على الأكل، والكلام، والثقة بالنفس. لكن الخبر السار؟ تطور طب الأسنان جعل من الممكن اليوم إجراء زراعة الاسنان - اقرأ المزيد..

افضل دكتور جراحة اسنان مدنية نصر
افضل دكتور جراحة اسنان مدنية نصر هو الخيار الأمثل لمن يبحث عن علاج دقيق وآمن لمشاكل الأسنان المعقدة. يوفر مركز جرانتي نخبة من أطباء جراحة الأسنان المتخصصين الذين - اقرأ المزيد..
